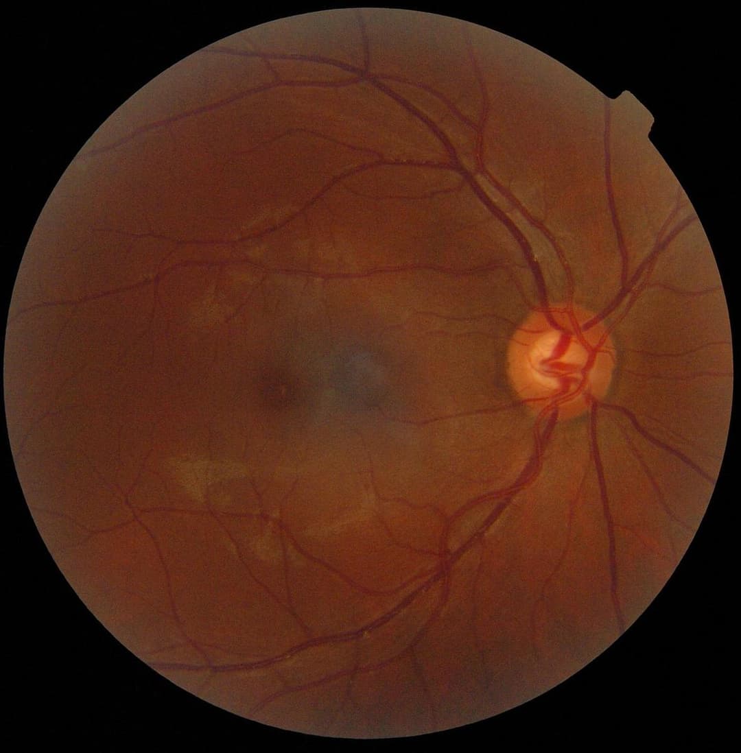
vignette|(Fig. 1) Rétinographie : la tache grise au centre est la macula, la tache claire est la papille. vignette|(Fig. 2) Organisation axiale simplifiée de la rétine. La figure montre le fond de l’œil à droite, la lumière venant de la gauche. L’organisation est à la fois radiaire, depuis les photorécepteurs (à droite) jusqu'au fond de l'œil (au centre) puis aux cellules ganglionnaires (à gauche), mais aussi tangentielle avec de nombreuses interactions entre cellules voisines. (Modifié d'un dessin de Ramón y Cajal). La rétine est l'organe sensible de la vision. D'origine diencéphalique, c'est une mince membrane pluri-stratifiée d'environ d'épaisseur couvrant environ 75 % de la face interne du globe oculaire et intercalée entre l'humeur vitrée et l'épithélium pigmentaire sous-choroïdal. Sa partie sensible à la lumière se compose de photorécepteurs : environ 5 millions de cônes (vision diurne et colorée) et ~120 millions de bâtonnets (vision crépusculaire et nocturne en noir et blanc), qui captent les signaux lumineux (photons) et les transforment en signaux électro-chimiques. Elle se compose aussi de neurones qui à leur tour intègrent ces signaux chimiques (neurotransmetteurs) en signaux électriques à l'origine de potentiels d'action mais aussi de cellules gliales. Ces potentiels d'action générés par les cellules ganglionnaires seront acheminés par les nerfs optiques vers l'encéphale par les corps géniculés latéraux (relais thalamiques qui se projettent par les radiations optiques vers la scissure calcarine du lobe occipital, hypothalamus, colliculi supérieurs, noyaux du tractus optique accessoire). La rétine est vascularisée par l'artère et la veine dites centrales de la rétine. La macula : région centrale de la rétine, située proche de l'axe optique. La fovéa : région centrale de la macula où se concentrent les cônes. Cette région forme une petite dépression au centre de la rétine, où l’acuité visuelle est à son maximum. Les champs récepteurs des cônes se trouvent au centre du champ visuel.
Gioele La Manno, Alex Russell Lederer, Cheng Zhao